Přejít k hlavnímu obsahu

Také jste zažili případy podobné těm ze života soudního znalce?

Je vhodné zaznamenávat veškerý kontakt s pacientovou rodinou? Je důležité zachovávat kontinuitu péče stejně jako kontinuitu komunikace s nemocným a jeho nejbližšími? Má zaměstnavatel odpovědnost za vznik profesní choroby, pokud není dokladováno, že zaměstnanec opakovaně neužívá ochranné pomůcky? Jak vyplývá z praxe soudního znalce, odpověď na všechny uvedené otázky zní jednoznačně „ano“.

Rádce ze zámoří

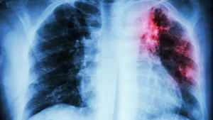
První kazuistika se týká úmrtí mladého muže s nemalobuněčným karcinomem plic metastazujícím do mozku. Soudní znalec byl osloven s tím, že péče o tohoto pacienta byla zanedbána – rodina si stěžovala na fakt, že onkologické onemocnění nebylo diagnostikováno při prvním pobytu ve zdravotnickém zařízení, kde byl nemocný vyšetřován pro rozpadovou dutinu v horním plicním laloku, v tu dobu měl akutní potíže. Byla mu nasazena antibiotika, po kterých došlo ke zmírnění obtíží, takže byl případ uzavřen jako pneumonie s rozpadem, a muž byl s léčbou odeslán do domácí péče. Doporučeno bylo CT vyšetření plic. To následně prokázalo tumor plic, který byl adekvátně diagnostikován a léčen, avšak neúspěšně.

Rodina uvedený postup hodnotila jako selhání péče, přičemž podnět ke stížnosti dal její „rádce ze zámoří“. Jednalo se o českého lékaře výzkumníka, který přesídlil do zahraničí, odkud poskytuje zpoplatněné e-mailové rady (140 eur za jeden e-mail) a funguje jako konzultant jedné zahraniční univerzity. Jeho komunikace byla velmi agresivní, vyjádřil se např. v tom smyslu, že „dnešní medicína nechápe pacienta, jeho mentální rozpoložení ani názor, surovost a neohrabanost zdravotníků je často až děsivá, jsou hanba lidstva…“. Pacientovi doporučil konzumovat pouze rýži, ovoce, pohanku, brambory, čerstvá rajčata a jakýsi čaj, protože „chemoterapie představuje chemickou likvidaci“. Na základě uvedených rad rodina změnila postoj k chemoterapii a rozhodla se neabsolvovat další vyšetření ani léčbu, protože znalec ze zámoří vyhodnotil onemocnění jako endogenní reakci na vajíčka a všechno kyselé a doporučil nejíst žádné maso, ryby, v úvodu ani lepek. Ošetřující lékařka pacientovi vážícímu méně než 50 kg sdělila, že ho přísná dieta energeticky vyčerpává a že laboratorně je již patrný nedostatek bílkovin.

Smutným faktem zůstává, že rodina nemocného měla daleko větší důvěru ke znalci ze zámoří, který ji dokázal přesvědčit o tom, že nad chorobou zvítězí proso a rajčata, nikoli exaktní, řádně vedená a finančně náročná terapie.

Jako poučení si lze vzít, že komunikace s pacientem a jeho rodinou je nezbytnou součástí léčebné péče a je třeba udržet její kontinuitu.

Kverulant s profesním astmatem

Druhý případ se týká zaměstnance „kverulanta“, který pracuje s těkavými chemikáliemi a po zaměstnavateli požaduje náhradu za profesní astma s tím, že má k dispozici všechny dokumenty potřebné k uznání choroby z povolání. Na soudního znalce se obrací majitel firmy, že neví, proč by měl náhradu poskytovat, neboť se jedná o problematického zaměstnance, který „stejně bude končit“.

Z dokumentace vyplynulo, že do firmy zaměstnanec nastoupil bez subjektivních potíží a známek astmatu. Po práci v prostředí, jež může podle dostupných materiálů astma vyvolat, se u něho začaly objevovat obtíže a v pneumologické ambulanci mu byla nakonec stanovena diagnóza astmatu, se kterým se začal léčit. Pacient si vyžádal posouzení hygienické služby, která potvrdila přítomnost dráždivých látek na pracovišti, a odborníka pracovního lékařství, jenž ověřil diagnózu astmatu u „kverulanta“ a stanovil souvislost mezi látkou na pracovišti a vznikem onemocnění, tedy profesní astma. Zajímavé bylo, že zaměstnavatel vůbec nevěděl o pohybu hygienické služby v jeho firmě, tudíž ani o tom, že jeden z jeho předáků podepsal protokol o provedených šetřeních, a tím uznal jejich výsledky. Na pracovišti s těkavými látkami byly k dispozici respirátory a také dokument o zaškolení, týkající se jejich použití, který byl podepsán „kverulantem“ – nikde však nebylo možné dohledat informaci o tom, že by byl upozorňován na nenošení respirátoru.

Poučení z tohoto případu je takové, že je-li nutné při práci užívat ochranné pomůcky, zaměstnavatel má odpovědnost za vznik profesní choroby vždy, pokud není v dokumentaci dokladováno, že zaměstnanec tyto pomůcky opakovaně neužívá. Při uznání nemoci z povolání obdrží pacient jednorázovou náhradu z pojištění zaměstnavatele. Následně je mu případně vyplácen invalidní důchod, který je do původní výše mzdy dorovnáván opět z pojištění zaměstnavatele.

Zemřelá „stoletá“

Ve třetí kazuistice se na soudního znalce obrací rodina s tím, že pacientka, která pobývala v zařízení dlouhodobé péče, byla převezena v „zanedbaném stavu“ do nemocnice, kde umírá „dehydratovaná na pneumonii“. Z dostupných materiálů bylo zřejmé, že stav nemocné se v zařízení dlouhodobé péče zhoršil, navštívil ji syn, jenž si přál převoz do nemocnice (deklaroval, že ho zajistí sám, což se však nestalo). Následně nemocnou navštívila dcera, která se po dohodě s praktickým lékařem rozhodla ponechat maminku v zařízení dlouhodobé péče, neboť její prognóza je infaustní. Pacientce byla nasazena antibiotika a byla pravidelně hydratována. Nemocnou opět navštívil syn a žádal okamžitý převoz maminky do nemocnice, kde posléze umírá v důsledku pneumonie. Zajímavé bylo, že se jednalo o 90letou pacientku s hmotností 35 kg, kachexií, inkontinencí a četnými dekubity, která již několik let nekomunikovala, a že ani v tomto těžkém stavu ji rodina nedopřála důstojný odchod ze světa.

Hlavním poučením z tohoto případu je fakt, že zařízení dlouhodobé péče vedlo velice pečlivě dokumentaci a že veškerou komunikaci s rodinou, stejně jako jiné údaje související s nemocnou, zaznamenávalo (forenzní důvody, kontinuita péče). To pak vedlo k naprosto jasnému ozřejmění situace a uznání rodiny, že primárně nekomunikovala uvnitř, tedy že syn s dcerou si nesdělovali informace.

Redakčně zpracováno ze sdělení, které na XXV. Luhačovických dnech přednesl:
MUDr. Pavel Turčáni, Ph.D.,
Klinika nemocí plicních a tuberkulózy LF MU a FN Brno

Kongresonline.cz

Reportáže a rozhovory z odborných kongresů

Obsah stránek je určen odborným pracovníkům ve zdravotnictví.



Upozornění

Opouštíte prostředí společnosti Pfizer, spol. s r. o.
Společnost Pfizer, spol. s r. o., neručí za obsah stránek, které hodláte navštívit.
Přejete si pokračovat?

Ano
Ne